骨粗鬆症の詳しい症状
 

 ① いつの間にか骨折

   ある日、突然背中が痛くなった!
という時には可能性があります。
 
骨が脆くなり、体重を支えきれず
背骨が折れてしまう。
 
【脊椎圧迫骨折】
という病気です。
 
一度折れると痛みが続き
なかなか完全には無くならない
厄介な骨折です。
 
 
 

 ② 慢性的な腰痛

 
 
  
骨粗鬆症になると
様々な部分の骨が脆くなります。
背骨のみならず骨盤、腕、足
全ての骨が弱くなり
結果として慢性的な腰痛や
他の部分の痛みが出現します。
 
また骨折しやすくなるため
慢性的腰痛が悪くなる
ことも多くあります。
  
 
 

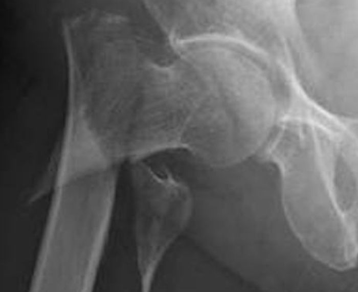
 ③ 大腿骨の骨折

 
 
  
 普通であれば問題ない軽い転倒。
骨粗鬆症の方は大きな骨折に
繋がってしまいます…
 
大腿骨という足の骨が
写真のようにバキッと
折れてしまうことがあります。
 
こうなると歩くことができず
ほぼ確実に手術が必要になります。
 
手術しても歩く能力は落ちて
杖をつくことが多くなります。
 
 
 
 

 ④ 手関節の骨折

 
 
  
 普通であれば問題ない軽い転倒。
骨粗鬆症の方は大きな骨折に
繋がってしまいます…
 
大腿骨という足の骨が
写真のようにバキッと
折れてしまうことがあります。
 
こうなると歩くことができず
ほぼ確実に手術が必要になります。
 
手術しても歩く能力は落ちて
杖をつくことが多くなります。
 
 
 

HOME | 骨粗鬆症の症状 大阪市のあわ整形外科クリニック

 
 
☎︎ 06-6535-9550
大阪府大阪市西区新町4-6-23 2F クリニックモール
 
  
駐車場25台完備・120分無料

 

受付時間 
9:00~12:00 ⚫︎ ⚫︎ ⚫︎ ⚫︎ ⚫︎
15:30~18:30 ⚫︎ ⚫︎ ⚫︎ × ⚫︎ ×
 

 休診日 :第2.4週土曜日・日・祝
☆:土曜午前受付時間 9:00~13:00
13:00~15:00(完全自費・予約制リハビリ)